Róbert Veres - Computer Scientist

Diploma

About Me

I’m a second year Computer Science MSc student at ETH Zürich. I’ve gained significant experience with Deep Learning, especially when applied to graphs and Computer Vision.

  • Graph and Network Analysis libraries: PyG, NetworkX, igraph (in R), Neo4j
  • Standard ML libraries: PyTorch, Tensorflow(.js), Scikit-learn, wandb, numpy
  • Data Visualisation: TypeScript, React, VTK, Taichi, seaborn, matplotlib
  • Data Management: SQL, Spark SQL, JSONiq
  • Other languages (besides Python): Java, C/C++, Haskell, Ocaml
  • ETH Zürich, MSc in Computer Science (2023-2024)
  • Current GPA: 5.42/6.0
    Relevant courses: Computational Intelligence Lab, 3D-Vision, Applications of Deep Learning on Graphs, Large Language Models, Scientific Visualisation, Big Data
  • ETH Zürich, BSc in Computer Science (2019-2022)

ETH Department of Particle Physics, Research Intern (09/2023-02/2024)

Worked on data independent attenution correction for PET imaging (see project)
Gained insights on working independently along a research team

ETH Department of Mathematics, Teaching Assistant (09/2022-02/2023)

Teaching a student cohort of 30 students (the peak was 44 because students prefered my class)
Corrected course Homework written in C++/Eigen
Project 3 Thumbnail

CoRe-GD: Scalable Graph Visualization Framework

Scalable graph drawing framework using a novel coarsening and rewiring technique for Graph Neural Networks (GNNs). CoRe-GD leverages an iterative layout optimization to generate geometric embeddings that not only scale sub-quadratically but also outperforms the previous state-of-the-art graph drawing models. (Published in ICLR 2024)

I was responsible for implementing and experimenting with different GNN architectures, implementing the base pipeline and enabling GPU acceleration using PyTorch, PyG, CuPy, wandb, networkx

Project 4 Thumbnail

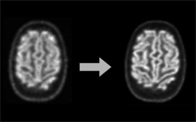
Gaussian Splatting-Based PET Image Correction Tool

Developed a proof-of-concept tool that enhances PET image correction using Gaussian splatting. This approach replaces traditional registration methods by utilizing Gaussian functions to represent corrected and uncorrected PET images, leading to improved accuracy in transmission-less PET imaging. (Published in IEEE MIC 2024)

I was responsible for creating the base pipeline, designing and implementing the framework using PyTorch, Pydicom, PIL, wandb

Project 1 Thumbnail

Interactive ML Tool for Light Analysis in (Candlelight) Paintings

Web-based tool that allows art historians to explore the subtle lighting techniques in historical paintings without requiring advanced computer vision knowledge. The framework provides a 2-Dimensional embedding based on ambient, directional, and high-frequency light features extracted from the paintings and is dynamically adjustable based on user input. Try it here

I was responsible for designing the front-end, the embedding model and integrating the model into the front-end using TypeScript and TensorFlow.js.

Project 2 Thumbnail

Indoor Image Retrieval using Monocular Scene Graphs

Indoor image retrieval tool that uses a novel approach based on scene graphs created from semantic segmentation and depth estimation. These scene graphs are processed with Recurrent Graph Neural Networks (RecGNNs), offering greater resilience to object removal compared to previous state-of-the-art methods.

I was responsible for designing and experimenting with the GNN architecture, implementing the scene graph generation based on literature, and integrating the model into the framework using PyTorch, PyG and CuPy.

  • English (C1 Certificate)
  • German (C1 Certificate)
  • Hungarian (Mother tongue)